Moim celem jest osiągnięcie 100% satysfakcji Pacjentów
Problemem Pani Anety były przebarwione, ciemne zęby. Przyczyną prawdopodobnie były tetracykliny (antybiotyki) zażywane w dzieciństwie. Rozwiązanie to 8 porcelanowych licówek. Efekt? – 100% satysfakcji. Pani Aneta jest studentką.


Pani Mariola 5 lat temu miała wykonany komplet koron porcelanowych na metalu.
Jej problem to zaczerwienione dziąsła wokół koron. Przyczyną była prawdopodobnie alergia na nikiel. Rozwiązanie – wymiana koron na korony pełnoceramiczne.
Pani Mariola jest dziennikarką.


Pan Kamil stracił górną jedynkę w wypadku. Do tej pory nosił protezę. Rozwiązanie – most przyklejony bez szlifowania zębów ( Maryland) Dodatkowym problemem (jak widać świetnie rozwiązanym) była przerwa między zębami. Pan Kamil jest mechanikiem.



Ząb Pana Andrzeja wymagał leczenia kanałowego. Kanały były zakrzywione. Na zdjęciu efekt 30 min pracy.



Pani Julia od 10 lat cierpiała na bóle migrenowe. Rok temu wykonałem aparat zapobiegający migrenie (NTI). Migrena ustąpiła a pacjentka znów cieszy się życiem.
Pani Julia jest bankowcem.

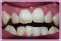
Patrycja ma 15 lat. Górne jedynki były przebarwione od antybiotyków.
Rozwiązanie – profesjonalne wybielanie zębów.


James chciał poprawić wygląd swoich tylnych zębów. Denerwowały go duże metalowe wypełnienia, które wyglądały jak ubytki. Rozwiązanie – wymiana wypełnień na porcelanowe onlay-e. Wynik? – 100% satysfakcji. James jest konsultantem.


Problemem Barbary były liczne, niekosmetyczne wypełnienia w zębach przednich (po 2 w jednym zębie) Rozwiązanie – 6 porcelanowych licówek. Barbara jest kosmetyczką.



Pani Renata i jej protezy nylonowe.



